Veterinary Trolley Color Doppler Ultrasound System
|
eSpeed การปรับภาพอัตโนมัติด้วยปุ่มเดียว ระบบปรับเสียงสะท้อนอัตโนมัติ (Automatic Acoustic Adjustment) เพื่อให้ได้ภาพที่เหมาะสมที่สุด โดยใช้กระบวนการประมวลผลข้อมูลอัจฉริยะทั้งแบบหลายช่องสัญญาณ (Multiple Channels) และแบบย้อนหลัง (Retrospective) |
|
eView Panoramic Imaging การถ่ายภาพแบบพาโนรามาช่วยขยายขอบเขตการมองเห็นในการวินิจฉัย โดยการจัดเรียงภาพแต่ละภาพเข้าด้วยกันตามลักษณะทางกายวิภาค |
|
eFCI การสร้างภาพเชิงความถี่แบบผสม เทคโนโลยี eFCI ช่วยสร้างภาพที่มีความละเอียดสูงในความลึกที่ต่างกัน โดยการส่งสัญญาณความถี่สูงและต่ำพร้อมกัน เพื่อให้ได้ภาพที่มีความคมชัดและแม่นยำในทุกระดับความลึก |
|
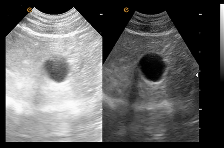
eSCI การสร้างภาพเชิงพื้นที่แบบผสม การถ่ายภาพอัลตราซาวด์จากหลายมุมมองในระนาบเดียวกันเพื่อสร้างเป็นภาพที่ประกอบขึ้นจากหลายภาพ (tomographic ultrasound images) ผลลัพธ์ที่ได้จะช่วยลดจุดรบกวน (speckle) เสียงรบกวน (clutter) และข้อผิดพลาดทางเสียงสะท้อน (acoustic artifacts) อย่างมีนัยสำคัญ |
|
eHelper Ultrasound Education Assistant ครอบคลุมการใช้งานทางคลินิกหลายด้าน เช่น ช่องท้อง, อวัยวะขนาดเล็ก, โรคระบบทางเดินปัสสาวะ และสูตินรีเวชศาสตร์ โดยให้เทคนิคการสแกนระดับมืออาชีพ, แผนที่อ้างอิง, แผนภาพอ้างอิง ตัวอย่างภาพอัลตราซาวด์ที่เป็นมาตรฐาน ช่วยให้สัตวแพทย์สามารถเรียนรู้และพัฒนาความแม่นยำในการคัดกรองเคสได้ |
|
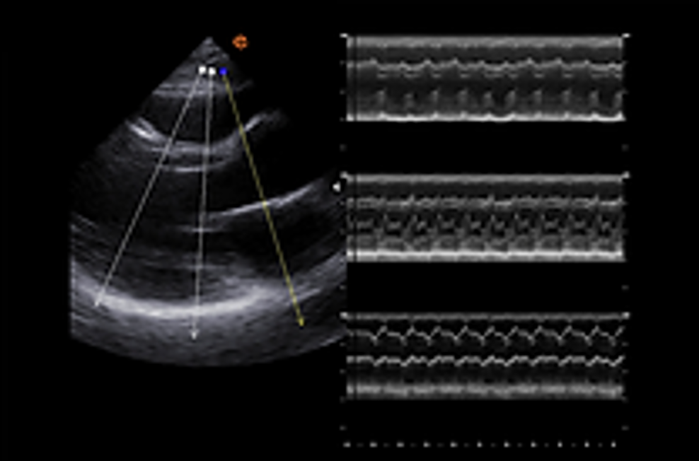
Anatomic M Mode การถ่ายภาพกายวิภาคแบบ M mode สามารถช่วยลดปัญหาการวินิจฉัยที่เกิดจากความผิดปกติของทรวงอกและตำแหน่งหัวใจที่พิเศษของผู้ป่วยได้ สามารถรวบรวมข้อมูลมาตรฐานได้อย่างรวดเร็วและได้ข้อมูลการวัดที่แม่นยำ เมื่อสังเกตเส้นโค้งการเคลื่อนไหวของหัวใจในตำแหน่งต่างๆ ในรอบการเต้นของหัวใจเดียวกัน (cardiac cycle) สามารถทำการวัด วิเคราะห์ สร้างรายงานแสดงการทำงานของหัวใจทั้งหมดได้โดยอัตโนมัติ และวัดดัชนี TEI ได้อย่างรวดเร็ว |